Al Fatebenefratelli "Impianto Percutaneo di Valvola Tricuspide"

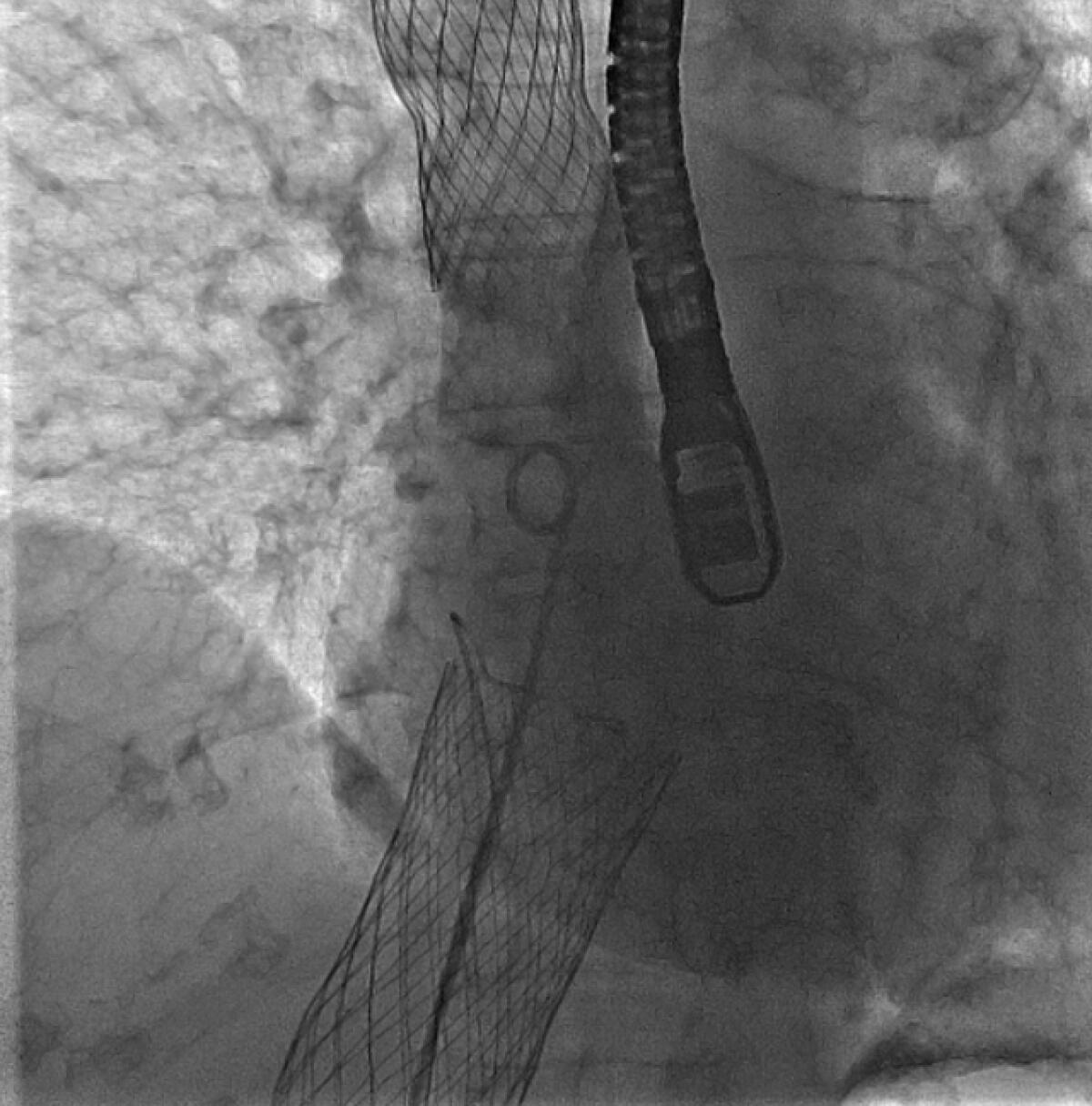
Un “impianto percutaneo di valvola tricuspide”  è stato eseguito per la prima volta a Benevento, tra le prime esperienze anche nel Sud Italia, un innovativo intervento presso l'UOC di Cardiologia dell...

14 novembre 2025 10:18
Al Fatebenefratelli "Impianto Percutaneo di Valvola Tricuspide" -
Condividi

Un “impianto percutaneo di valvola tricuspide”  è stato eseguito per la prima volta a Benevento, tra le prime esperienze anche nel Sud Italia, un innovativo intervento presso l'UOC di Cardiologia dell’Ospedale Sacro Cuore di Gesù “Fatebenefratelli” del capoluogo sannita diretta dal prof. Bruno Villari. La paziente era affetta da una severa forma di insufficienza valvolare tricuspidale, molto sintomatica con diversi accessi in Ospedale negli ultimi mesi per scompenso cardiaco acuto. L’insufficienza valvolare tricuspidalica è una patologia comune nella popolazione anziana e frequentemente correlata a patologie del cuore sinistro o all’ipertensione polmonare.  Il trattamento con terapia medica è associato a scarsi risultati clinici purtroppo, e la chirurgia a torace aperto resta il gold standard per il trattamento, seppur gravata da una elevata mortalità e morbilità. Il caso della paziente trattata al “Fatebenefratelli di Benevento” è stato discusso in Heart Team e collegialmente si è deciso di procedere all’intervento percutaneo. Il sistema utilizzato (TricValve) prevede l'impianto di due protesi biologiche a livello delle vene cave (superiore e inferiore) per prevenire il reflusso di sangue e trattare la congestione venosa.  Le protesi vengono impiantate attraverso un catetere inserito nella vena femorale, evitando così un'operazione a cuore aperto.  L’intervento è stato effettuato nel Laboratorio di Emodinamica dall’equipe composta dai dottori Bruno Villari, Eugenio Laurenzano e Bruno Petruzziello, sotto guida transesofageo del dott. Quirino Ciampi per il corretto posizionamento.

Segui Informazione Sei